MANAUS (AM) – Uma mulher, candidata do concurso do Corpo de Bombeiros do Amazonas, fraturou as duas pernas durante o Teste de Aptidão Física (TAF) na manhã desta quarta-feira (26). Ela estava numa corrida na Vila Olímpica de Manaus, na avenida Pedro Teixeira, bairro Dom Pedro, Zona Oeste.
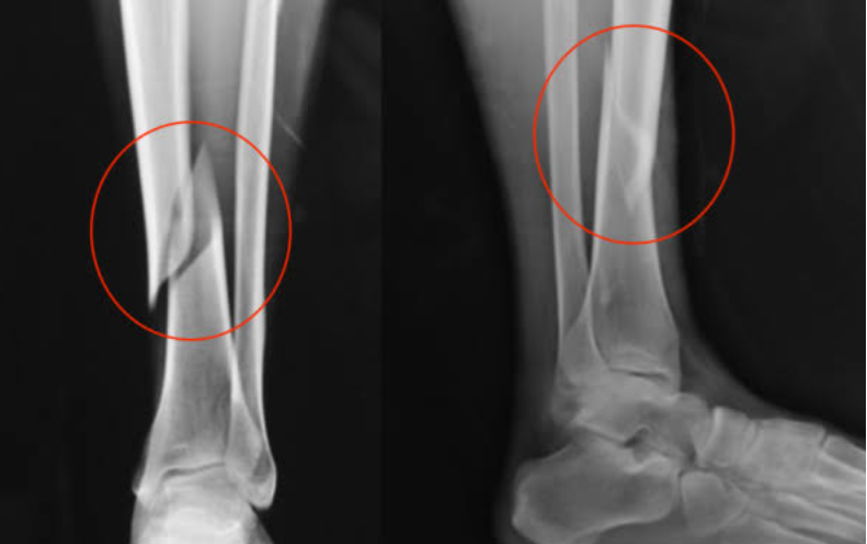
Um raio-X mostra duas fraturas nas pernas da candidata, que segundo informações de outros candidatos estava quase finalizando o teste quando o acidente ocorreu. A cerca de 200 metros a tíbia quebrou e ela foi ao chão.
O Corpo de Bombeiros do Amazonas foi procurado, mas não deu detalhes sobre o ocorrido. Segundo a corporação, uma nota será informada pela Fundação Getúlio Vargas (FGV), organizadora do concurso.
Até a publicação desta matéria, FGV ainda não havia se pronunciado.







