Motociclista sofre grave acidente com fr4tura exp0sta na zona norte de Manaus
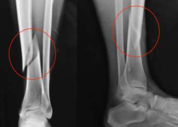
MANAUS (AM) - Um motociclista ficou gravemente ferido após um acidente na manhã deste domingo (12), na avenida 7 de ...
MANAUS (AM) - Um motociclista ficou gravemente ferido após um acidente na manhã deste domingo (12), na avenida 7 de ...
BRASIL - Uma jovem de 19 anos sofreu fraturas nos dois joelhos após um acidente durante um treino em uma ...
MANAUS (AM) - Uma colisão entre uma motocicleta e um carro deixou um homem gravemente ferido no fim da tarde ...
NOVO AIRÃO (AM) - A imagem de Geovane Salles, de 25 anos, foi divulgada pela 77ª Delegacia Interativa de Polícia ...
MANAUS (AM) - Um motociclista militar ficou gravemente ferido após bater na traseira de um caminhão na tarde desta quinta-feira ...
MANAUS - Uma mulher foi resgatada com graves ferimentos nas pernas após um ataque violento registrado nesta segunda-feira (3) no ...
MANAUS (AM) - Um acidente de trânsito foi registrado na tarde desta quarta-feira (21), por volta das 17h, na avenida ...
MANAUS (AM) - Em um vídeo compartilhado neste fim de semana nas redes sociais, mostra um homem que ficou revoltado ...
MANAUS- O sambista Zé Mário é uma das três vítimas feridas nesta terça-feira (4), após o desabamento de um muro ...
MANAUS - Uma vítima com fratura exposta ficou na chuva na noite deste sábado (18), esperando pelo Samu, depois de ...