Mundo – Um paciente que não teve seu nome divulgado, teve sua traqueia rompida após tentar segurar seus espirros, pressionando o nariz com os dedos. O caso foi publicado em um artigo médico no periódico BMJ Case Reports.
O homem de 30 anos que reside no Reino Unido, tinha um histórico de crises alérgicas e durante uma dessas crises, tentou segurar o espirro e acabou rasgando a traqueia na altura do pescoço.
Segundo o médico que atendeu a ocorrência, o homem dirigia seu veículo quando sentiu uma vontade de espirrar. Em vez de liberar o espirro, o que é recomendado pelos médicos, ele tentou segurar apertando o nariz.
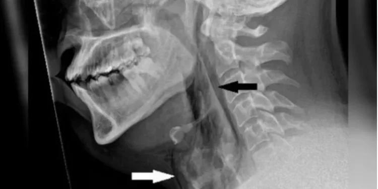
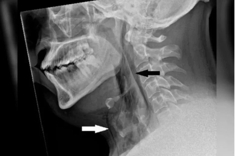
Após isso, o homem sentiu fortes dores no peito sendo obrigado a ir a um hospital em busca de atendimento de emergência. Um exame de imagem identificou a ruptura na traqueia de aproximadamente quatro milímetros.
“É raro, mas o acúmulo rápido de pressão na traqueia ao espirrar com o nariz apertado e a boca fechada ocasionou um rasgo traqueal, conforme os exames realizados no hospital de Dundee mostram”, destaca o texto da equipe médica.
Segundo o artigo, as capacidades respiratória e cardíaca do paciente estavam normais, o que motivou os médicos a desconsiderarem uma intervenção cirúrgica.
“No entanto, ele foi mantido internado por 48h enquanto recebia remédios para dor e alergia. Nenhum antibiótico foi administrado e ele não necessitou de oxigenioterapia. A observação era apenas uma precaução, e dois dias depois o paciente recebeu alta para continuar o tratamento em casa”, explicaram os autores do relato médico.
Após cinco semanas, ele realizou uma nova tomografia computadorizada, que apontou a cicatrização completa do rasgo provocado pelo espirro interrompido. O paciente não apresentou sequelas, mas foi alertado dos riscos de repetir a ação.
“Todos devem ser orientados a não conter espirros com o nariz apertado enquanto mantêm a boca fechada, pois isso pode resultar em perfuração da traqueia”, alertaram os médicos.
A principal intenção do espirro é eliminar secreções e agentes agressores ao corpo. Ao segurar um espirro, toda a pressão gerada pelo fluxo de ar de alta velocidade que deveria ser expelido é travada e internalizada no corpo, aumentando a pressão intracraniana.
A pressão pode ser forte o suficiente para gerar um Acidente Vascular Cerebral (AVC) e, se a pessoa tiver alguma veia ou artéria mais frágil, como um aneurisma cerebral ou malformação vascular, o ato de segurar o espirro pode ser ainda mais prejudicial à saúde do corpo. O rompimento dos vasos é uma situação rara, mas pode acontecer.







