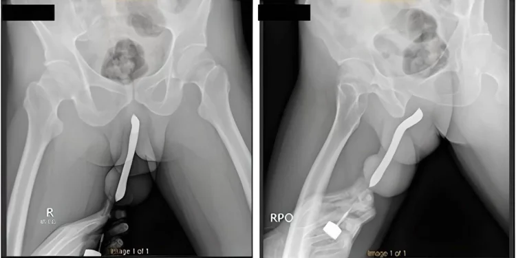
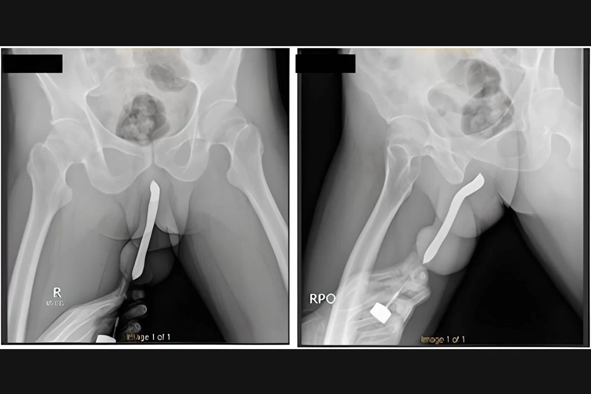
Mundo – Na última semana um caso inusitado chamou atenção da internet. Um homem de 43 anos morador da Indonésia precisou passar por uma cirurgia urgente após colocar uma escova de dente dentro do próprio pênis. A situação ficou mais grave, pois o objeto quebrou dentro do órgão durante uma reação sexual.
Um estudo de caso foi publicado no International Journal of Surgery Case Reports, revista de medicina, o objeto quebrou quando o pênis ficou na posição em que a mulher está por cima. “O paciente sofreu uma lesão peniana durante a relação sexual na posição de mulher por cima, na noite anterior”, descreve.
O homem ainda esperou cerca de 12 horas após o acidente para procurar ajuda médica. Os profissionais do Hospital Geral Acadêmico Soetomo, na cidade de Surabaya, descrevem que a situação do pênis era complicada. O órgão estava, além de inchado, muito deformado por conta da escova que ainda estava dentro.
O homem admitiu aos socorristas do hospital que colocou a escova por “satisfação pessoal”. Ele já havia adiantado que fez um pequeno corte no órgão. Ele teria como finalidade facilitar a introdução de mais objetos no órgão. A “anomalia” foi feita em 2017, entretanto não foi informado se a escova estava dentro desde então.
O indonésio precisou passar por uma cirurgia de duas horas para retirada da escova. Ele recebeu alta 3 dias depois e não sofreu complicações, conseguindo urinar normalmente. Embora não tenha ossos, o pênis tem tubos esponjosos que enchem de sangue, deixando ele ereto. As fraturas são super comuns nesta região.







