Homem de 40 anos quebra o próprio pênis ‘para cima’ durante sexo com novinha
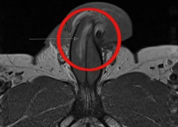
REINO UNIDO | Um homem de 40 anos machucou gravemente o órgão durante uma relação sexual e sofreu uma fratura ...
REINO UNIDO | Um homem de 40 anos machucou gravemente o órgão durante uma relação sexual e sofreu uma fratura ...
RIO DE JANEIRO | Um idoso precisou ser levado às pressas para UPA de Cabo Frio na madrugada do último ...