X

Homem fica com chuveirinho preso no reto e vai parar no hospital

ADVERTISEMENT

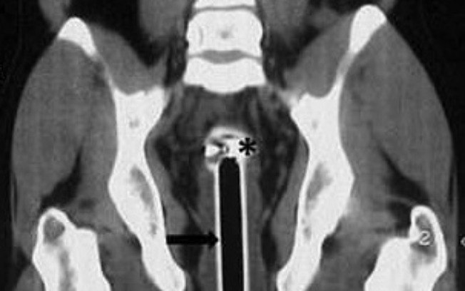
Rio – Um homem foi parar no hospital após um chuveirinho de 15 centímetros ficar preso em seu reto. O rapaz de 26 anos, que não teve a identidade divulgada, disse aos médicos que caiu em cima do objeto durante o banho em sua casa, na Índia, e que resolveu procurar ajuda após tentar retirá-lo sozinho e não ser bem-sucedido.

De acordo com informações do Daily Mail , os paramédicos do Hospital Ram Manohar Lohia e do Instituto de Pós-Graduação em Educação Médica e Pesquisa em Nova Deli explicaram, por meio de um relatório, que acreditavam que o chuveirinho foi utilizado para “fins eróticos”.

A equipe contou que o indiano ficou com a cabeça do chuveiro auxiliar e uma parte da tubulação presas no reto, e que reclamou de dores na região. Exames foram executados para avaliar o caso, e o rapaz está saudável, sem apresentar sangramentos internos.

Cirurgia de remoção do chuveirinho e casos comuns

O paciente passou por um longo processo de cirurgia, tendo o objeto retirado do ânus. Os médicos expuseram que mais exames tiveram de ser realizados para verificar se algum dano havia sido causado ao intestino grosso do rapaz.

“Depois de identificar que o paciente estava realmente bem, ele ficou em observação por dois dias e recebeu alta após o tempo de recuperação na clínica. Sugerimos que ele passasse por consultas com psiquiatras, mas ele se recusou”, informaram.

Ainda segundo o documento elaborado pelos médicos, “extrações de corpos estranhos” do reto das pessoas são bastante comuns, principalmente entre homens de 30 a 40 anos.

“Geralmente, esses pacientes ocultam informações acerca do caso por medo de serem hostilizados, o que jamais faremos. Indicamos que contem exatamente o que ocorreu para que possamos diagnosticá-los  e executar exames apropriados para perfurações, infecções, dores abdominais e sangramentos intensos”, destacaram os médicos em documento.

Embora esses incidentes, na maioria das vezes, não sejam perigosos, os autores do estudo ressaltaram que nos casos em que há sangramento interno ou em que a condição do paciente é instável, o objeto deve ser removido cirurgicamente. Eles também expuseram que, além do chuveirinho, lâmpadas de vidro, vegetais e barras de ferro já foram retirados de dentro dos acidentados.  Com informações  Saúde – iG . 

Expressoam:

This website uses cookies.